[1]歯が痛い(しみる)
冷たいものがしみる
1.知覚過敏
知覚過敏とは虫歯ではない歯が、何らかの原因で冷たいものに対して過剰に反応している状態です。間違ったブラッシング法、歯ぎしり、かみ合わせ、歯周病など、さまざまな原因が考えられます。
知覚過敏を改善する塗り薬やブラッシング法の改善、かみ合わせの調整などにより治療します
2.虫歯
早期治療であれば1回ないし2回の治療で終了できます。
虫歯が神経にまで達すると多くの治療回数を必要としますので、早めに治療しましょう
肉眼では小さな穴しか認められません。
中では虫歯が大きく広がっています。
特殊な試薬で染色した所。
熱い物・甘い物がしみる
かなり大きな虫歯が予想されます。痛みがひどくなる前に治療しましょう。
熱いものがしみる場合、虫歯が神経にまで達している可能性が高い状態です
何もしなくてもズキズキ痛い
主に3つの可能性が考えられます
1.虫歯が神経にまで達している【歯の神経はまだ機能している状態】
歯の神経を除去することで歯を抜かずに治療できる可能性が高い状態です。細菌が神経に感染し、痛みを発しますが、歯の根の先の骨にまでは感染が進んでおらず、比較的短期間の治療で改善が見込めます。
治療法
麻酔をし、虫歯と歯の神経を除去します。
神経の収まっていた空洞に痛みを鎮静する薬を入れ、仮の詰め物でふたをします。神経を除去することで、しみる感じや、ズキズキした痛みは無くなりますが、鈍い痛み、咬んだ時の痛みはしばらく残ります。痛みが完全に無くなるまで薬の交換をくり返し、痛みが無くなり次第、神経の収まっていた空洞に薬を詰め、その上から冠をかぶせます。
2.歯や根の先の骨が化膿している。【歯の神経は機能していない】
1の状態がさらに進み、神経が壊死したり、過去に神経を除去した歯が、新たなむし歯に感染し、細菌が歯の根の先まで侵入することで、神経が無い歯であっても根の先の骨が化膿し、強い痛みを発します。
|
![]() |
|
|
1.術前レントゲン写真。 |
2.一見問題ないように見えますが激しい痛みを伴います。 |
|
|
|
|
|
3.治療終了直後。 |
4.治療終了1年後。 |
治療法
神経が通っていた管をきれいに消毒し、化膿が治まり、痛みが無くなってから神経が収まっていた空洞に薬を詰め、冠をかぶせます。1の状態よりも多くの治療回数を必要とし、悪化させると抜歯が必要になる可能性の高い状態です。
3.歯周病の急性症状
虫歯とは関係なく、周囲の歯茎や骨が炎症を起こしている状態です。
症状は上記の1,2と似ており、ご自身では歯が痛いのか、周囲の歯茎や骨が痛いのか判断するのはかなり難しいです。
2との違いは、歯の内部は化膿しておらず、歯と歯茎の隙間から歯周病菌が感染することで起こります。慢性的な歯周病と違い、激しい痛みを伴うのが特徴です。
治療法
歯を大きく削ったり、かぶせたりする必要がなく、歯石除去、かみ合わせの調整、消毒、飲み薬などにより治療します。ただし、歯周病の急性症状が起きるということは、少なからず歯周病が進行しているということなので、症状が落ち着いても油断せず、定期的な歯石除去やブラッシングの徹底など心がけましょう。
咬んだ時にだけ痛い
虫歯、神経の化膿、歯周病など多くの原因が考えられます。
レントゲンなど検査により診断が必要です。
[2]歯がグラグラする・歯茎が腫れた
歯周病
虫歯とは関係なく、歯肉や骨が歯周病菌の感染により炎症を起こし、それが長期間持続、または繰り返すことで周囲の骨が破壊されている状態です。 歯茎が腫れる、出血する、白い膿が出る、口臭が強くなるなどの症状が出ます。
治療法
ブラッシング(歯みがき)では落とせない歯石などの汚れを落とし、必要に応じて抗菌剤や消毒薬を使い治療します。早期に治療すれば症状は改善し、進行を止めることができますが、骨が大きく壊されてしまい歯がグラグラしてしまうと抜歯が必要になります。
また、歯周病は 症状が治まる事=完治 ではなく、症状が無くなってからも定期的なメンテナンスやブラッシングの徹底などが特に重要となります。
歯の根管(神経の通っていた管)の化膿
過去に神経を除去した、もしくは虫歯を放置したために神経が死んでしまった歯において、根管(神経の通っていた管)の中で化膿が起きている可能性があります。化膿は根の先から、その周囲の骨や歯肉にまで炎症を起こし、放置すると歯茎にニキビのような物ができることもあります。症状は出たり治ったりをくり返しながら少しずつ骨を壊してしまうので、放置せず早めに治療を受けましょう。
治療法
虫歯や古いつめ物、冠を除去し、根管内を消毒します。化膿がおさまったら新たにかぶせます。やや、治療回数の多い治療となります。
[3]歯が欠けた・つめ物が脱落した
歯は外側にエナメル質という固い組織があり、食べ物を咬むことによる磨耗や虫歯菌の作る酸に対抗するための盾となっています。一見小さな穴であっても、エナメル質が壊されてしまうと歯の内部に細菌が入り込み、内部の象牙質というやわらかい部分で急速に虫歯が進行します。つめ物が脱離したまま放置すると、同じように象牙質が露出したままになるので危険です。
肉眼では小さな穴しか認められません。
中では虫歯が大きく広がっています。
特殊な試薬で染色した所。
ダイレクトレストレーション
|
|
![]() |
|
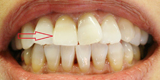
前歯の間にすき間があります。 |
|
グラスファイバー樹脂を盛ることで |
神経を除去せずに治療した場合1回~2回で治療ができますが、神経を除去しなければならなくなると最短でも5回程の治療回数が必要となります。症状が出る前に早期治療を受けるようにしましょう。
[4]歯が抜けたままになっている
歯を失ったまま放置すると残された歯が傾いたり、咬み合っていた相手の歯が伸びあがってきたりします。
この歯の移動はお口全体の咬み合わせのバランスをくずし、歯周病や虫歯の原因となります。
治療①ブリッジ
利点
・着脱しなくてよい
・異物感が少ない
・入れ歯より強く咬める
欠点
・両隣の歯を削らなくてはならない(すでに冠がかぶっている場合は問題ない)
・両隣の歯が、失った歯の分まで噛む力を負担しなければならないので傷みやすい
治療②入れ歯(義歯)
利点
・両隣の歯を削らずにすむ
欠点
・金属のバネが目立つ
・異物感が強い
・強く噛めない
・両隣の歯にバネをかけるので負担になる
治療③インプラント
利点
・天然の歯と変わらない感覚で物を噛んだり、味わうことができる
欠点
・外科的手術が必要
・治療費が高額になる
[5]入れ歯が合わない・見た目が気になる
着脱式の入れ歯は、カタついたり痛みのあるまま使用を続けると、バネのかかっている歯や周囲の歯茎を傷める原因となります。
多少の不具合は削って調整したり、床の部分を一部張り変えることで改善します。
義歯が割れてしまったり、バネが合わない場合など、必要に応じて新しく作り直します。
バネの外観が気になる場合
1. マグネット義歯

磁石を利用して義歯を歯に固定します。
神経を除去した歯の上に専用プレートを付け、入れ歯には米粒ほどの医療用磁石を埋め込みます。磁石とプレートの引き合う力を利用して入れ歯をお口の中に固定します。プレートを付けた歯や磁石は全て入れ歯の床の下に隠れるので金属が見えることはありません。
利点
・外観が良い。バネが見えない。
・異物感が小さい
・良く咬める
欠点
・固定原となる歯は神経の無い歯しか利用できない
・保険適応外
2.ノンクラスプ義歯
金属を全く使用しない、非常に薄い義歯。
入れ歯の床部分が柔らかい材質でできており、バネの代わりに床の一部が、本来バネをかけるべき歯を抱えるように形作られています。
利点
・外観が良い。金属を全く使用しない。
・異物感が小さい。床が柔らかく、非常に薄い。
・落としても割れにくい
欠点
・材料の寿命が他の義歯よりもやや短い
・保険適応外









